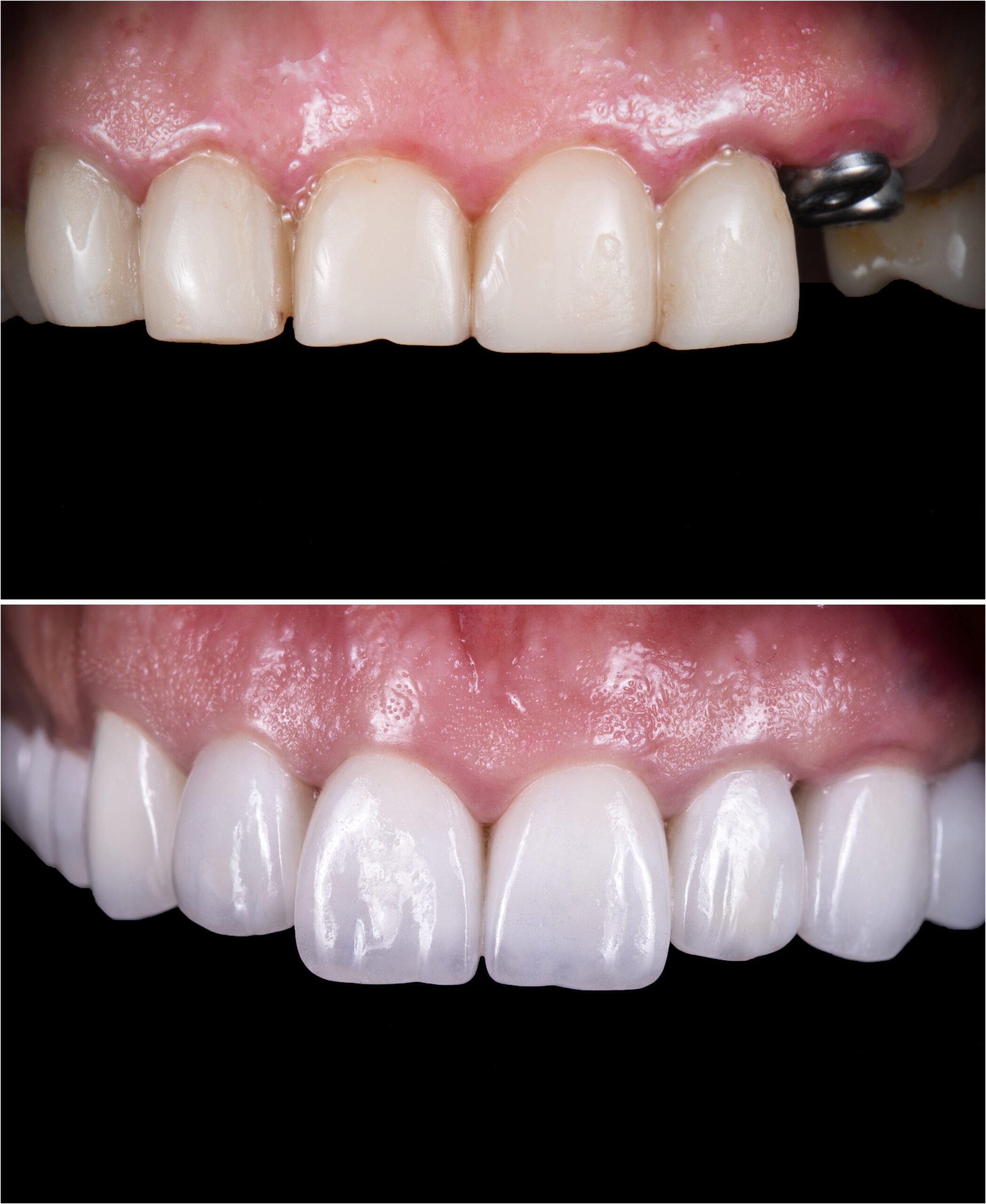
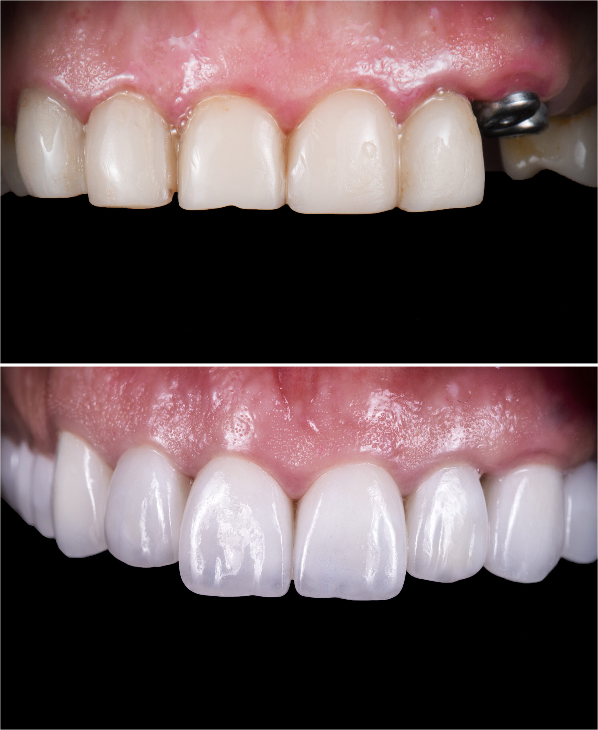
Transformacija
Otkrijte moć blistavog osmeha uz našu galeriju pre i posle. Svedočite o zadivljujućim transformacijama i zamislite mogućnosti za svoj sopstveni osmeh.


Viniri - Fasete
Fasete nude besprekoran blistav osmeh, ispravljajući boju, oblik i poravnanje tankim, izdržljivim prilagođenim ljuspicama .
Zubni Implanti
Transformišite svoj osmeh sa našim premium zubnim implantima. Dizajnirani da izgledaju, osećaju i funkcionišu kao prirodni zubi, oni su zlatni standard za zamenu nedostajućih zuba i vraćanje samopouzdanja u vaš osmeh.




Bezmetalne krunice
Cirkonijum omogućava savršeno vizuelno uklapanje u izgled ostalih prirodnih zuba , samim tim što dozvoljava da svetlost prolazi kroz zub za razliku od krunica od metal keramike gde je smanjena transparentnost zbog metalne kapice koja je u sastavu krunice. Cirkon krunice su bio-kompatibilne, što znači da ne izazivaju nikakvu reakciju okolnih tkiva niti upalna stanja, što može da se uoči kod nekih pacijenata gde kod metalo keramičke krunice rub postaje vidljiv i dolazi do povlačenja desni.















