Sa više od 37 godine kombinovanog iskustva u Srbiji i Kanadi. Naša stomatološka ordinacija je rezultat više od tri decenije iskustva, strasti i ljubavi prema ovom poslu. Naš entuzijazam pokreću naši zadovoljni pacijenti i izuzetno smo ponosni na svaki osmeh koji smo dotakli i omogućili.
Sveobuhvatna briga za sve vrste usluga
Doživite sinergiju stručnosti i praktičnosti u našem savremenom objektu, gde je svaki aspekt dentalne nege adresiran sa preciznošću .
Imamo 5 zvezdica sa razlogom
Verujemo u dela. Izgradili smo dugoročne odnose sa našim klijentima zasnovane na našim ključnim principima delovanja:
- Posvećenosti doživotnom učenju
- Iskrenost
- Prevencija u fokusu
- Profesionalna kompetentnost
- Eticka integritet

Nalpantidis Nikolaos
Zahvaljujući doktoru Jezdimiru i timu, sada s radošću očekujem svoje stomatološke posete, znajući da sam u najboljim rukama.
Stomatološka ordinacija kojoj možete verovati
NOVADENT DENTAL CENTER osnovan je 1987. godine. Naša stomatološka ordinacija je oličenje više od tri decenije iskustva, strasti i ljubavi prema ovom poslu. Naša strast je pokrenuta našim pacijentima i veoma smo ponosni na svakog pacijenta i osmeh koji smo dotakli i omogućili.
Naš tim iskusnih i saosećajnih stomatologa posvećen je pružanju personalizovanih planova lečenja kako bi zadovoljio vaše jedinstvene potrebe. Od redovnih čišćenja i popravki do naprednih kozmetičkih i restaurativnih procedura.


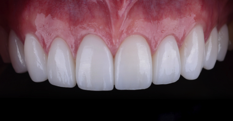
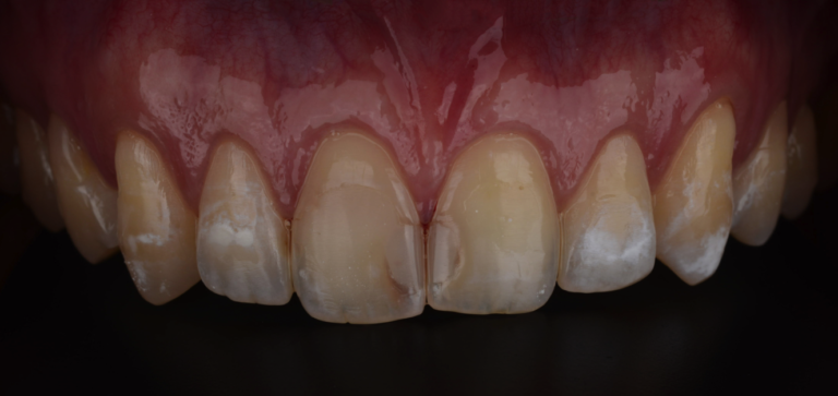
Možemo vam pomoći da imate prirodan osmeh.
Krenite na put ka sjajnom, prirodnom osmehu sa našim stručnim stomatološkim timom. Razumemo suštinu iskrenog osmeha i posvećeni smo obnavljanju i poboljšanju prirodne lepote vaših zuba. Koristeći napredne tehnike i personalizovanu negu, obezbeđujemo udobno iskustvo koje vodi do osmeha kakav ste uvek želeli. Bilo da je reč o estetskoj stomatologiji, preventivnoj nezi ili pažljivim restauracijama, naš cilj je da vam pružimo zdrav i lep osmeh koji će trajati ceo život. Dozvolite nam da transformišemo vaše zdravlje zuba i samopouzdanje, počevši od danas.
Filip2024-04-08 Special thanks to Igor and huge recommendation for this dental clinic. Very thorough and professional dentists, with special notice and care for details. Big shoutout and very satisfied! 👌 Maria Nalpa2024-04-01 Daleko naj bolja ordinacija sa strucnim i ljubaznim ljekarima punim stripljena sa pacientima. Moju tesku situatiu su resili vrlo uspesno. Zahvalnost i sve preporuke Eirini M.2024-04-01 Visiting Novadent, from the moment I walked in, I was greeted with warmth and professionalism. It’s clear that patient care is their priority! My experience in the chair was exceptional. Igor took the time to listen to my concerns and explain each step of the process. His expertise and attention to detail are unmatched and I left feeling confident in my dental health journey. If you are looking for a dentist that combines skill, compassion, and a commitment to excellence look no further! Thank you for providing such exceptional care!! Sasa Pavlovic2024-02-20 Sve pohvale! Strahinja Sekulic2024-02-17 Fer, pošteno, korektno i veoma profesionalno. Svaka preporuka. N. Per.2024-02-14 Možda se plašite zubara, možda imate neki problem koji nikako da rešite. Možda mislite da poseta zubaru mora biti neprijatna, stresna, bolna. I ja sam tako mislila dok nisam otišla kod ovih divnih ljudi i stomatologa. Izašla sam s osmehom od uva do uva... HVALA VAM.
