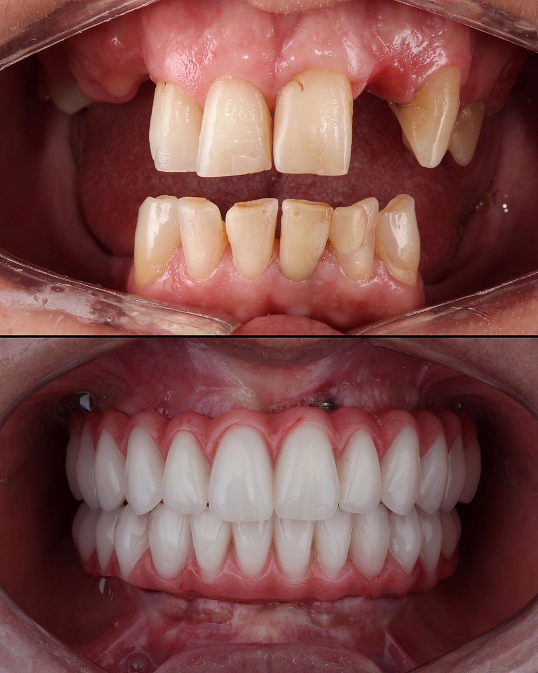
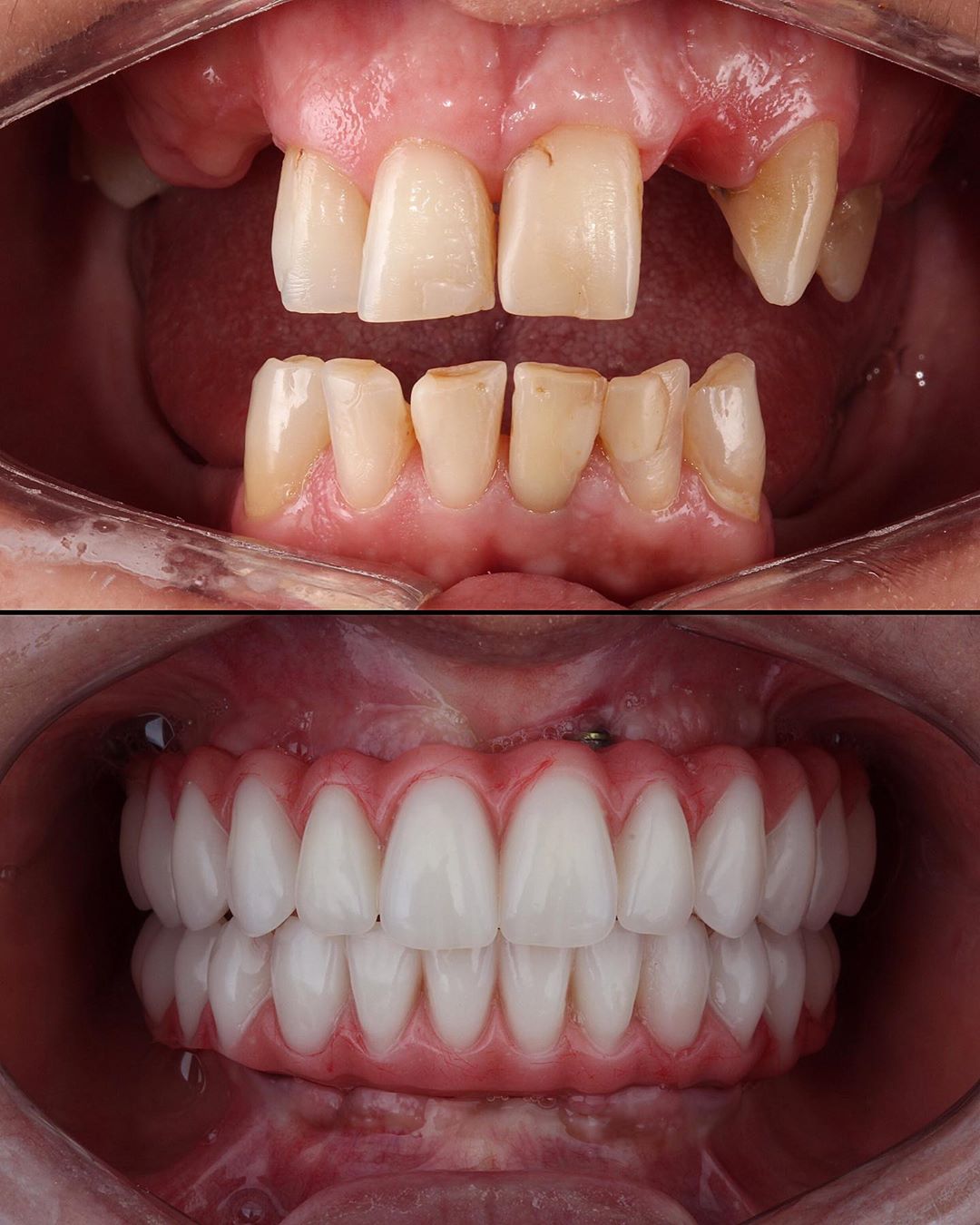
Dental implants
Transform your smile
When it comes to dental implants our journey started back in 2003 while living in Toronto, Canada with our first placed implants by Tenax Dental Implants and later on with various other implant systems. Dental implants have come a long way since then, implants today have a much greater success rate and that’s mostly due to new designs and our ability to plan ever detail much better using digital planning ,3D printing and placing implants with 3D printed guides.
PREDNOSTI
Why choose dental implants?
- Natural Look and Feel: Dental implants are designed to seamlessly blend with your natural teeth, enhancing your smile and facial structure. This will allow you to feel comfortable and confident.
- Long-Lasting Solution: With proper care, dental implants can last a lifetime, making them a long-term cost-effective choice. There is no need for frequent replacements as with some other methods.
- Improved Oral Health: Implants not only replace lost teeth but also help preserve the natural jawbone. This prevents bone loss and maintains your facial structure, ensuring the stability and longevity of the implants.
These advantages make dental implants a popular choice for people seeking a permanent solution for tooth loss, while preserving oral health and aesthetics.




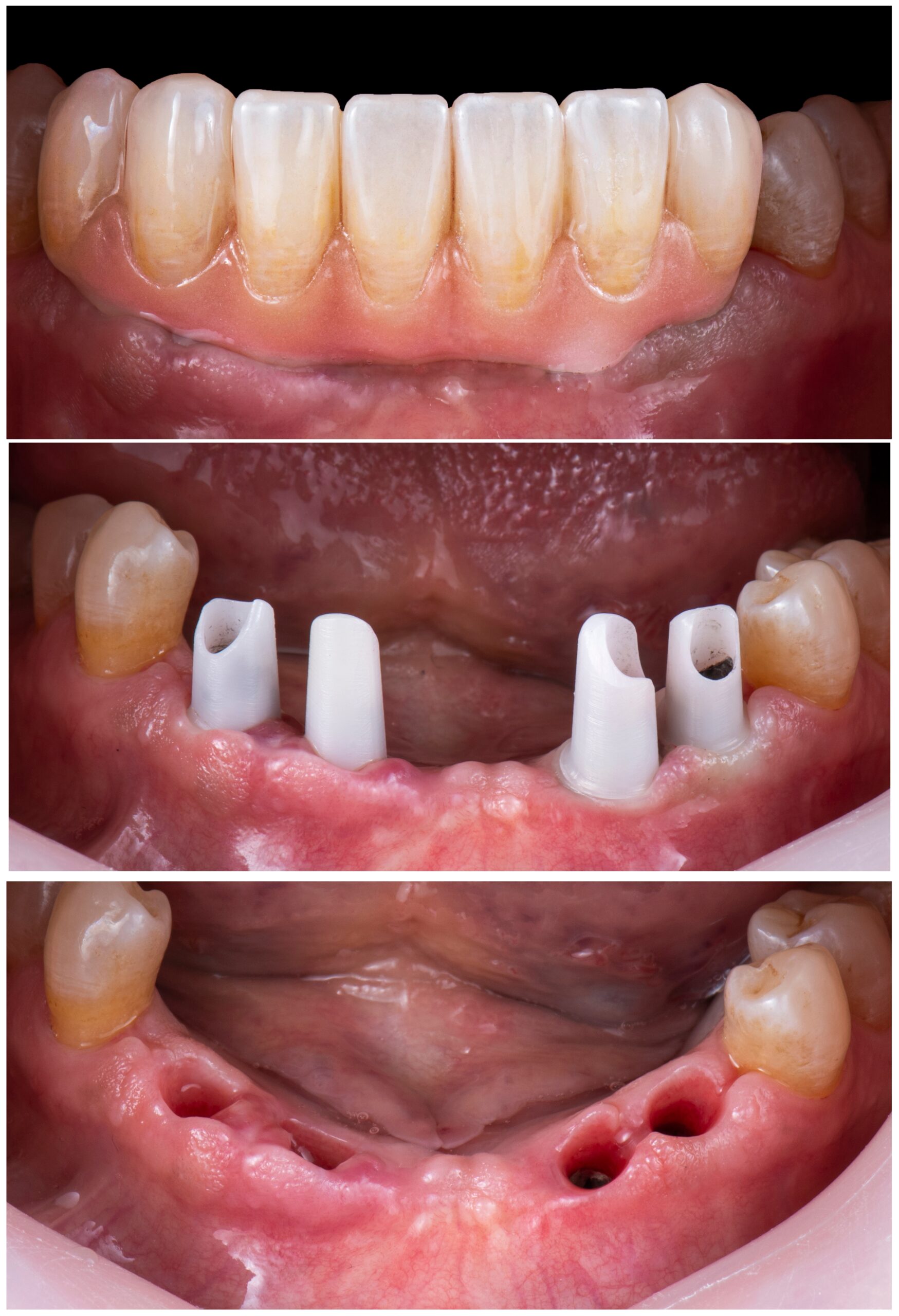
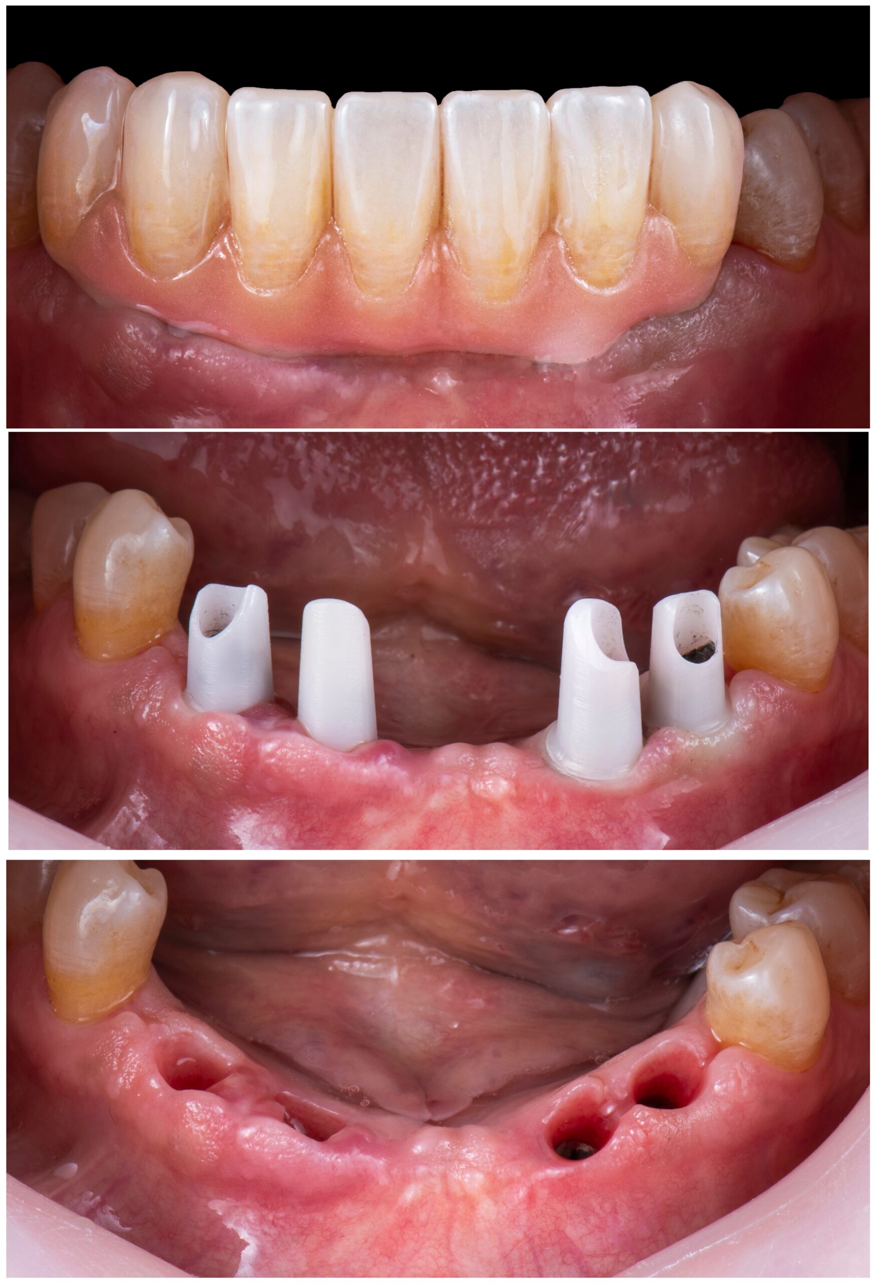
What is the procedure?
What is the procedure?
- Forward us your X-ray or schedule an appointment with us. After reviewing the X-ray, you will receive a complete therapy plan as well as the total therapy cost.
- Implant placement is painless and takes a short time. The implant is first placed on the first day followed by a check-up in 7 to 10 days. Depending on the current conditions, the next appointment for completing the procedure is determined.
PRICING
The prices vary from case to case, depending on the condition of the remaining teeth and the different preferences of the patient, from zirconium to metal-ceramic crowns, as well as the manufacturer.
Prices are indicative, for more information CONTACT US.
One tooth is missing
Dental implant : 350€
Price for one abutment: 100€
Price for one crown: 150€
Total: 600€
Missing three teeth
Two implants : 700€
Price for two abutments: 200€
Bridge with 3 crowns: 450€
Total: 1350€
All on 4
Four implants : 1200€
Four abutments : 400€
Dental Bridge: 1560€
Total: 3160€
All on 6
Six implants : 1800€
Six abutments : 600€
Dental bridge: 1560€
Total: 3960€
Brands
Top quality brands
Cost for dental implants
- C-Tech Implants 300 €
- MegaGen 400 €
- MegaGen Anyridge 450 €
- MIS Implants ( 350 € – 450 €)
- Straumann 600 €
- Nobel BioCare
Fully digital planning
Computer guided dental implant placement
This revolutionary method enables precise placement of implants using digital technology. This innovative technique utilizes 3D scanning and planning to position the implants exactly according to the previously made virtual plan.
- Less invasive : Thanks to precise planning, implant placement is less invasive, reducing the risk of complications and accelerating the healing process.
- Accuracy : Guided implant placement allow for exceptional precision in implant placement, resulting in optimal position and stability.
- Faster : Prior planning allows the implantation procedure itself to take between 15 to 30 minutes.
FAQ
Dental implants are metal posts surgically implanted into the jaw as replacements for lost teeth. They provide a stable foundation for tooth replacements, such as crowns or bridges.
The placement of dental implants is done under local anesthesia, so patients typically feel minimal or no pain during the procedure. After placement, there may be some mild discomfort that can usually be managed with pain medication.
The length of the process can vary, but it typically takes from several months to a year. This includes the period of jaw healing and the integration of the implant with the bone.
To replace one tooth, usually only one dental implant is needed. After the implant is placed in the jaw and integrates with the bone, a superstructure such as a crown can be placed on it, serving as a replacement for the lost tooth.
Thanks to proper maintenance of oral hygiene and regular visits to the dentist, dental implants can last for many years, even a lifetime.
Dental implants provide a strong foundation for tooth replacement, enabling better chewing and speech function compared to other options such as dentures. They also prevent bone resorption and maintain facial structure.
"Although most people may be candidates for dental implants, certain factors such as overall health and jaw condition can affect the feasibility of treatment. It is recommended to consult with a dentist for an assessment of the individual case."
After placement, it is important to maintain good oral hygiene and regularly visit the dentist for check-ups.
Cleaning the implants should be done carefully, using special brushes and dental floss according
to the dentist's recommendations.















